歯の根の治療は、その歯の寿命を左右します!
歯を失う原因の殆どが不十分な根の治療です。
今までに、自分の根の治療した歯のレントゲンを見たことがありますか?
保険で根の治療した歯の95パーセントが問題あり!知っていましたか ?
根の治療はとても難しく、手間と時間、回数も必要です。
しかし、保険点数が非常に少ないため、なるべく歯科医師は手間と時間をかけずに治療を終わらせたいのです。 手を抜いてもすぐにはわかりません。
しかし、何年後かには、必ず問題が出てきます。
その時には歯を抜くしかない状態で、患者様は手入れが悪かったのかな、と思うことがほとんどです。
タカシ歯科クリニックでは、自費で根の治療をおこなっております。トータル約2~3時間、常に新しい機械や材料を使用しております。
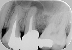
※根の治療は、根の先まで白いクスリが入っていないと感染しやすくなり、膿の袋(黒い影)が出来てしまうことが非常に多いです!

↓↓↓

※根の再治療にて、根の先まで白いクスリがしっかり入っていて、膿の袋(黒い影)があったところも見えなくなっています!
治療費用を気にされる方はこう考えてはいかがですか?
もし、状態が悪くなる前に根の治療をすることができれば、根の治療のトラブルで痛みや腫れがでる心配もありません。
誰でも苦痛な時間は経験したくないですよね?
最悪抜歯になってしまったら、自分の歯は二度と戻ってはきません。
インプラントという選択肢もありますが、最低1本約20万円(エコノミーインプラントの場合)費用が発生します。
できるだけ自分の歯で楽しく気兼ねなくお食事が出来るといいですよね!
もちろん根の治療は、医療費控除(節税効果あり)の対象です。
個々の患者様の状態により結果が異なる場合があります。
費用は、こちらを参考にしてください⇒料金表ページ
ご不明な点がございましたら下記番号よりお電話にてお問い合わせください。
TEL:0875-24-4618